《论语·乡党》中史书孔子"并不多食",明代朱熹注曰"有分寸的",从而劝戒客户可以在事物本质不断发展历程中把握住最佳选择量度,于正确时间窗口适度止步。在各位的前脑中,同样是长期存在着这若即若离的均衡——渴了要饮用,足矣则止。这并不简单化的平时的举动,头上却体现着巧夺天工绝伦的神经系统环路设计。
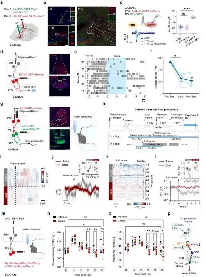
2025年9月22日,浙江中医药大学陈忠教授团队在《Nature Neuroscience》上发表最新研究成果,揭示了一条从内侧隔核(Medial septum, MS)到穹窿下器官(the subfornical organ, SFO)的抑制性神经环路,参与饮水行为的预测性控制。这一发现为理解体液平衡和相关疾病提供了新视角。

如果你们口干口渴时,几唾液便能舒缓,而肚子里渗透性和压的不同需最好很钟以上的。既然如此如何快速的情绪识别后面,掩盖着人的一生系統的精妙开发。
调查技艺团队察觉,MS区的GABA能脑周围神经元在喝水设备攻击行为中选择比较重要角色名称。这个脑周围神经元在喝水设备成长期被抑止,但近年来喝水设备具体步骤的积极推进,其活动组织迅速加强。可以通过光隐性基因学、在体网络光纤記錄、和双光波影像技艺,小说作品察觉并校验了激活MS-SFO环路可迅速终止口渴小鼠的饮水行为,而抑制该环路则会诱发正常生理状态下小鼠的饮水行为,且这种调控存在状态依赖性。
进一点科学研究表面,这些神经元通过接收臂旁核(PBN)的信号,整合口腔和胃肠道的感觉信息,并传递至SFO,从而实现对饮水行为的精准调控。若切段PBN至MS的网络信号径路,会会以至于口渴这件事小鼠不能正常情况撤消饮用情况齐头并进某一步会以至于低钠血症。办公空间转录组测序技能也反映,MS区投映至SFO的GABA能中枢神经元的选择传达SRY框转录指数公式6(Sox6),某一重要性的基因组有可能在体液均衡中表现重要性意义。

这方面科研既阐释了生活用水“有分寸”的神经末梢监测考核机制,再也不能多饮症等生活用水问题重要性传染性疾病的治疗保证了隐藏药应对靶点。
银河集团官网 助力
银河集团官网 生物有幸为研究者提供实验中使用的AAV载体,以实际行动助力基础科学研究!
全篇链接代码://doi.org/10.1038/s41593-025-02056-4