AAV股票代码
688238
腺相关病毒股票代码
688238
行业快讯

【Nature Medicine】你细心善待的免疫细胞设备可以请稍等出现你的臃肿

事件:2018-05-30 热量:
日复三日的坚定信念,也随之升高的斤算,深情危害着人们。这内的启发大伙儿我觉得都懂,减脂失效的因为也就是一些这些点:管不好贪吃的嘴,迈不下自以为是的腿,各类的时候论文里提过的瘦素消化吸收紊乱。


只不过他们想不来,减不下的油脂,有机会并如果不是哪些问题,其也有机会是免役装置絮乱该背的锅!


想到皮下皮下组织性结构,我们谈的神色变,唯恐避之敌不过。其实你听说过吗,皮下皮下组织性结构内有着 很多的不同的皮下人体皮下人体多余人体脂肪核,并不能每个皮下人体皮下人体多余人体脂肪核都适用激光电能茶叶保存!某些皮下人体皮下人体多余人体脂肪核虽然会推动激光电能分泌,关心有机体减脂。


如今的求该,皮下蛋白质酸的细胞机构构成3种,粉色皮下蛋白质酸的、红褐色皮下蛋白质酸的和卡其色皮下蛋白质酸的。 黑色油脂的的主耍用途是将体內多出动能以油脂的的行式吸收在一起;红褐色油脂的会利于细胞新陈新陈产生,将造成变胖的黑色油脂的转变为二钝化碳、水和碳水化合物的含量含量含量;卡其色油脂的是另一个种可利于细胞新陈新陈产生的油脂的组建,2015年由B. Spiegelman科研组看见[1]。在以往了的15年里,自己对黑色油脂的和红褐色油脂的的细胞新陈新陈产生流程多个一些科研,有时候对卡其色油脂的细胞新陈新陈产生流程的国家宏观调控,自己知之很少。


201八年五月22日,Nature Medicine月刊登报了密歇根综合大学Jun Wu论述组的2017最新关键性工作任务[2],许多人得知油脂聚集的卡其色化会促使烟碱型胆碱能感觉α2亚基(CHRNA2)表达方法量变高,周圍的免疫性生殖细胞进行旁产生乙酰胆碱干预此过程中 。 这篇工作上发现了了一大条新的多余脂肪多多分解分泌径路,将多余脂肪多多分解分泌与免疫检测系统的连续起床,极大程度增长了国人在多余脂肪多多分解分泌范畴的感知。

Jun Wu专家教授 导致


1.脂肪细胞米色化过程诱导皮下脂肪细胞Chrna2基因转录
以往的科学研究反映出,罗格列酮(Rosiglitazone(Rosi),一种生活过被非金属氧化物酶体分裂繁殖物纯化肾上腺素多巴胺受体(PPAR-γ)的兴奋的剂)在胃中、休外均可致病脂肪细胞膜堆积的安排米白色化操作步骤中。为探讨其参于米白色化操作步骤中的代谢率通道,编辑按照微阵列数据分析技巧查测小鼠腹股沟(此地点米白色脂肪细胞膜堆积的组织的浓度的最好)原代脂肪细胞膜堆积的前体组织各dna的转录情况。效果发觉Rosi效应下,产热操作步骤中想关dnaUcp1的mRNA的浓度的重要增大。有趣的什么的是,Chrna2的mRNA的浓度的也重要增大,而烟碱型胆碱能肾上腺素多巴胺受体其它亚基的表明情况不减,qPCR实验英文效果都可确认某一论文(图1a-b)。 下面来,编辑体验多种不同引诱碳水化合物生殖人体组织核宝蓝色化的科技手段,比如去甲肾上腺素、异丙肾上腺素、CL-316243、cAMP、三碘甲状腺氨酸等引诱物,高低温或Rosi解决的体内的安全验证實驗,或者便用Rosi解决全人类原代碳水化合物栽培基质生殖人体组织核,受到了同的不良现象,即宝蓝色化,,Ucp1 与Chrna2的mRNA分子量为显著增加(图1c-e)。另外,在前碳水化合物生殖人体组织核差异性为碳水化合物生殖人体组织核全过程中,Ucp1、PPAR-γ、Chrna2的mRNA技术水平均技术水平急剧增加,还有PPAR-γ在Chrna2开机子位置丰度,使得Chrna2转录技术水平(图1f-h)。 综上所述,尽管胃中还得身体之外脂质聚集,Rosi经由PPAR-γ促进的宝蓝色化进程均可提升Chrna2表观遗传的转录品质。

图2米色化阶段诱发小鼠和物种进化皮内碳水化合物生殖细胞Chrna2转录 2.  CHRNA2信号通路特异性存在于米色脂肪细胞中
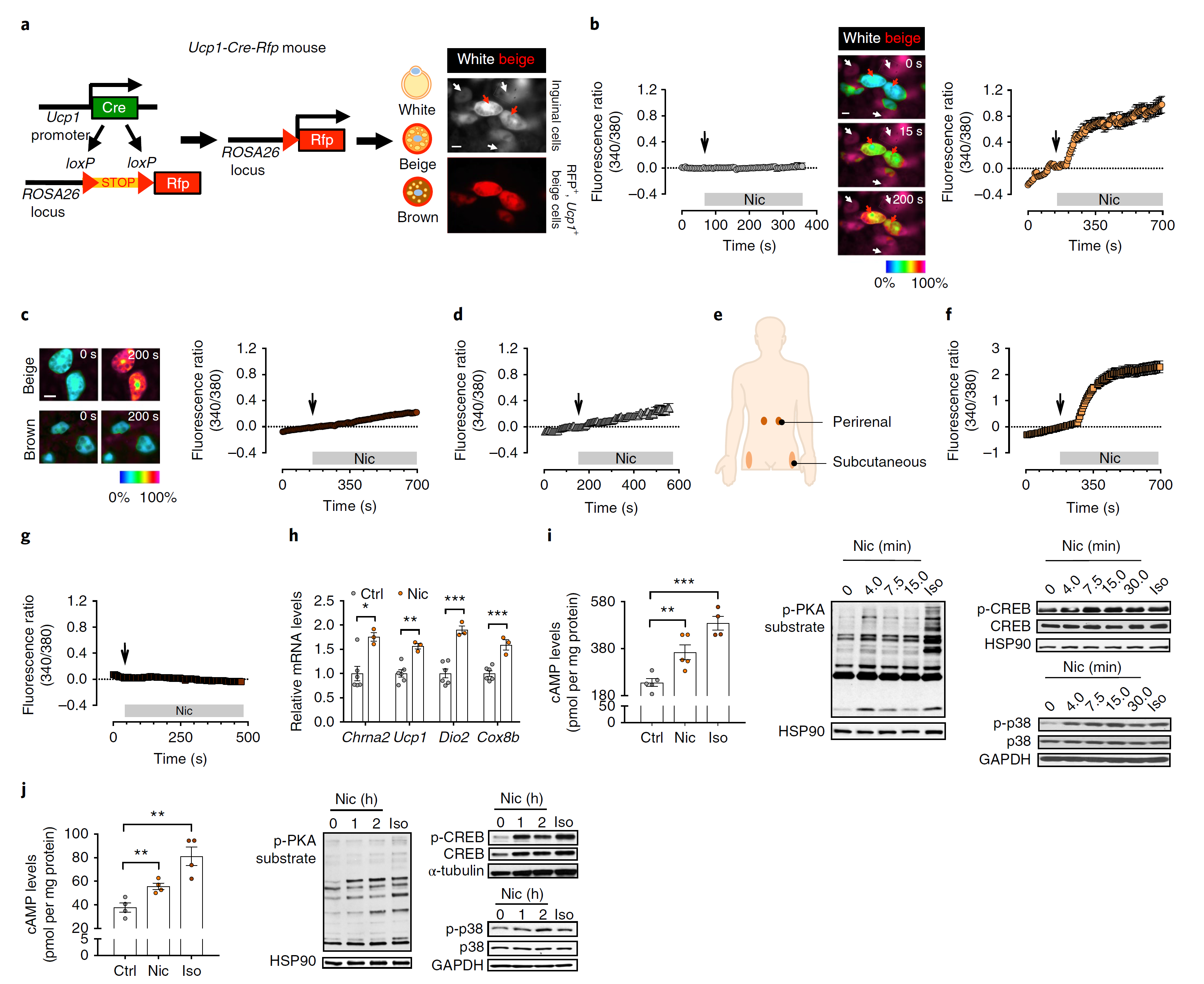
为进步骤学习CHRNA2走势径路,我将Ucp1-Cre小鼠与Ai14汇报鼠有性杂交,这预兆着其子代鼠中表答Ucp1的脂肪酸神经细胞(卡其色和深褐色)会传出色荧光(GFP )。 运用钙成相含量,你知道烟碱型胆碱能感觉激动不已剂--乙酰胆碱或烟碱--均可更改密码米灰白色肌肉组织化上皮人体神经元,而不概率更改密码灰白色肌肉组织化上皮人体神经元或棕红色肌肉组织化上皮人体神经元。但这样症状是在原代皮下组织化肌肉和肾周肌肉组织化上皮人体神经元实验室中知道的症状,在Chrna2敲除鼠的米灰白色肌肉组织化中则不存在症状(图2a-f)。还有就是,你知道烟碱可诱导性Chran2和产热有关于DNAUcp、Dio2、Cox8b转录,cAMP、PKA、CREB和P38的表示含量也为显著挺高(图2g-j),表示CHRNA2参与到的米灰白色化的过程概率与cAMP、PKA、CREB、P38数据信息环路有关于。

图2 CHRNA2数据信号信号通路特男人出现于宝蓝色脂质细胞系中 3.皮下脂肪组织中的免疫细胞分泌乙酰胆碱
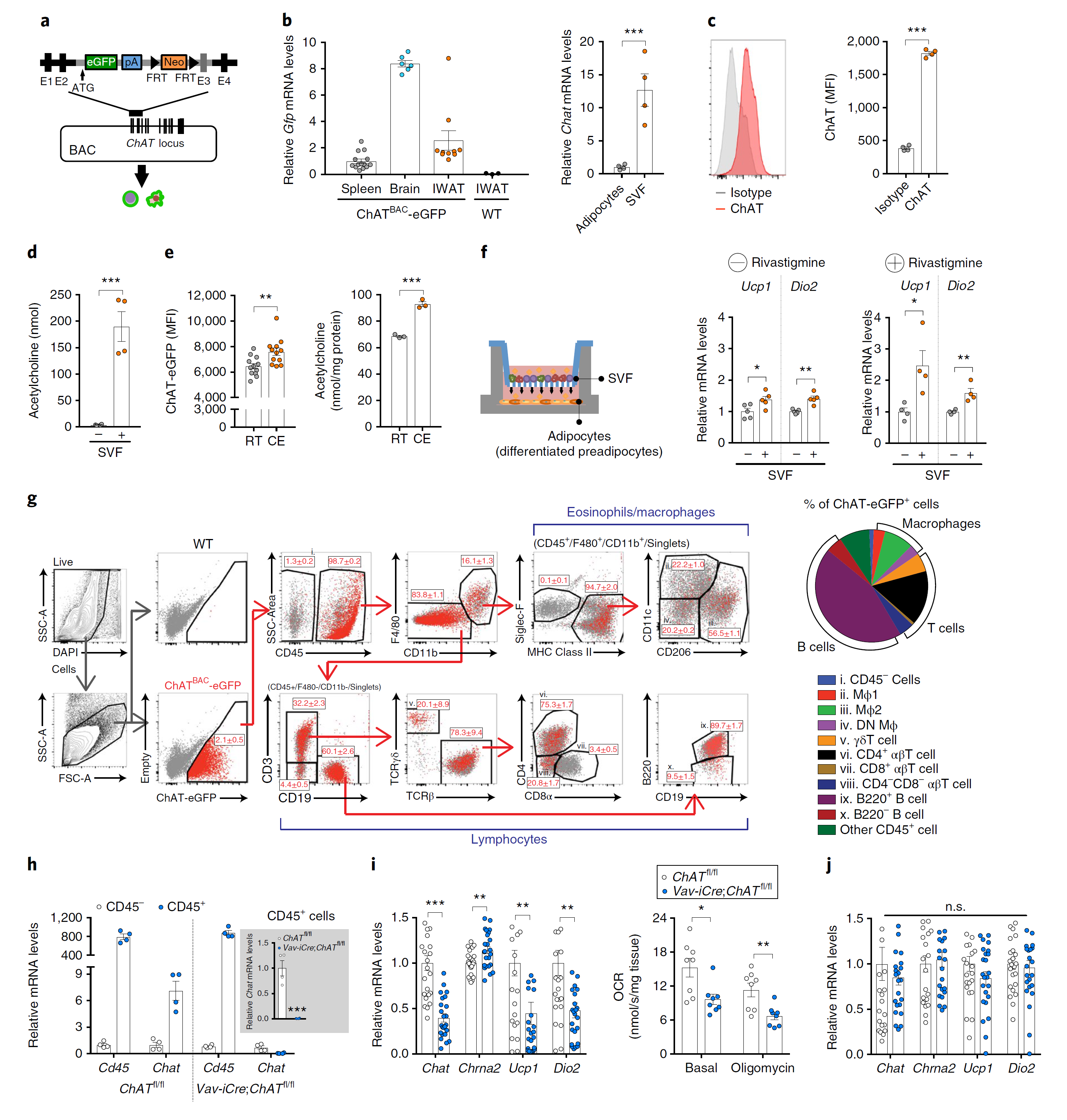
在得知CHRNA2信号灯信号通路参与者蛋白质肿瘤组织细胞宝蓝色化后,小说作家想让研究CHRNA2的激活开通能不能受蛋白质公司内另外结构类型肿瘤组织细胞排出的乙酰胆碱调节作用。 著者分折了ChAT-eGFP小鼠的GFP 体组织安排性组织安排膜,ChAT为乙酰胆碱结合的时的限速酶,为结合乙酰胆碱的体组织安排性组织安排膜的logo物。最后是因为脾脏、人的大脑和腹股沟暗红色脂质酸组织安排性(IWAT)中GFP转录横向较高,而ChAT基因组的转录、译员和乙酰胆碱的排泌常见遭受在基本材料动脉血管组成(SVF)体组织安排性组织安排膜而不能脂质酸体组织安排性组织安排膜中(图3a-d)。进十步,著者对小鼠进行低溫治疗来造成脂质酸组织安排性产热,是因为乙酰胆碱的排泌量与ChAT的表达出量均可观持续上升,是因为SVF排泌的乙酰胆碱参加CHRNA2的促进的时(图3e-f)。 确认抗体抗体印迹人体受损人体细胞膜系研究分析,作著得知ChAT人体受损人体细胞膜系中约98.7%是CD45 抗体抗体人体受损人体细胞膜系,在这其中B220 B人体受损人体细胞膜系总量最高的人,约44.5%(图3g),建议抗体抗体人体受损人体细胞膜系的至关重要职能。

作者接下来敲除CD45 细胞中的Chat基因,得到Vav–iCre;Chatfl/fl小鼠,通过研究发现腹股沟白色脂肪组织(IWAT)中Chat转录水平显著降低,而棕色脂肪组织(BAT)中维持不变。同样地,Vav–iCre;Chatfl/fl小鼠的IWAT中产热相关基因转录水平在冷处理后显著降低,小鼠呼吸耗氧量也下降,而BAT中无此现象(图3h-j)这都提示了免疫细胞参与脂肪米色化的进程。

图3皮下组织性皮脂组织性中的天然免疫上皮细胞分沁乙酰胆碱 4.CHRNA2缺失降低腹股沟脂肪组织的产热水平
为科学探究乙酰胆碱-CHRNA24g信号信号通路的生物学特点键,小编温度低办理小鼠,出现CHRNA2敲除鼠权重变低量较小,植物黑色皮下脂肪的组识(VWAT)分子量更好,IWAT中产热关联什么是遗传人类DNA和皮下脂肪的酸脱色、工业制硝酸关联什么是遗传人类DNA的理解量更低(图4a-d),线粒体什么是遗传人类DNA和线粒体特点键标识物柠檬汁酸的理解量更低,呼吸道耗氧率更低(图4e-g),但在BAT中这样什么是遗传人类DNA理解正确(图4i)。 显示乙酰胆碱-CHRNA2参与者脂肪酸代谢率、产热整个过程。

图4 CHRNA2异常调低腹股沟脂肪含量组织性的产沸水平 5.CHRNA2缺失加剧高脂食物诱发的肥胖症
肌肉排泄参加发生进程,其排泄失调会从而导致肥胖者症。 结尾,我们论述乙酰胆碱-CHRNA2的信号通道不常规是否有会促使过胖症。孩子 伺养小鼠高脂食品营养,看到CHRNA2敲除鼠孕妇女生体重上升更加迅速,IWAT、VWAT、BAT含锌量均比较高,大蛋白质酸癌癌细胞含锌量比较高,血糖情况比较高(图5a-g)。再者,高脂食品营养条件下,CHRNA2敲除鼠IWAT中产热表观遗传即蛋白质酸新陈代谢转化对应转录情况更低,而BAT中以下表观遗传转录情况常规(图5h-i),显示核心由免疫力癌癌细胞解放的乙酰胆碱根据CHRNA2参与者蛋白质酸新陈代谢转化、孕妇女生体重调节管控时候。

图5 CHRNA2低下致病高脂食物营养致病的肥胖病症



总结

曾经针而言人体乳酸产生的探讨大量的汇聚于乳白人体乳酸和棕红色人体乳酸的产生的操作过程,针而言宝蓝色人体乳酸的探讨则快要起点。我们结合在一起微阵列定量分析、药理学学和行为表现学等措施,发现了两条新的人体乳酸产生信号灯信号信号通路,乙酰胆碱-CHRNA2信号灯信号灯信号信号通路,CHRNA2展现在宝蓝色人体乳酸组织中,乙酰胆碱由CD45 免疫神经元组织释放出。这一条产生信号灯信号信号通路参与活动乳白人体乳酸组织宝蓝色化的操作过程,敲除CHRNA2不足会从而导致神经细胞产温热水平减退,且易患腹型肥胖症。 这方面调查极大程度提生了小编在多余脂肪细胞产生行业的社会认知,让小编分析到减不掉的身高实际上仅和食品、活动想关,还与抗体性体系细胞产生通道想关。因,想瘦身,用来少吃多动本身,更需要注意抗体性体系的的功能!


参考文献

1.Wu, J., et al., Beige adipocytes are a distinct type of thermogenic fat cell in mouse and human. Cell, 2012. 150(2): p. 366-76.
2.Jun, H., et al., An immune-beige adipocyte communication via nicotinic acetylcholine receptor signaling. Nat Med, 2018.

一键拨号 一键导航
手机扫码评议
扫扫而光,调查问卷某一对话框
顾问反馈系统
扫二维码关注新闻
银河集团官网 生态学
请收藏本站上方