肝骨营养不良(HOD)是一种代谢性骨病,常与慢性肝病相关,以骨流失和骨质疏松为特征。全世界约有8.44亿人口,近75%有HOD,患有骨质减少或骨质疏松症。2022年3月1日,南京大学医学院蒋青教授研究团队与南京医科大学附属逸夫医院薛斌教授团队、南京医科大学李朝军教授团队、中科院深圳先进院陈棣教授团队合作(陆克博士与石天舒博士为本文共同第一作者)在Cell Metabolism上发表了文章Defects in a liver-bone axis contribute to hepatic osteodystrophy disease progression,发现在HOD的发病机制中发现了一个新的肝-骨轴,涉及肝脏PP2Acα的上调,导致肝因子卵磷脂-胆固醇酰基转移酶(LCAT)的表达减少,以及胆固醇从骨到肝脏的逆向转运缺陷。(DOI://doi.org/10.1016/j.cmet.2022.02.006)

肝和脏PP2Acα的调涨与HOD的特别严重度相应

肝特异性PP2Acα缺失可改善HOD小鼠的骨质疏松

Fig.2 肾脏特异形PP2Acα短缺可优化HOD小鼠的骨找不到
肝特异性PP2Acα缺失可使LCAT表达增加,减轻HOD症状

Fig.3 PP2Acα短缺引发的肝源性LCAT可改变HOD
PP2Acα通过去磷酸化转录因子USF1调控LCAT的表达

肝源性LCAT完成调准骨稳定可以改善HOD

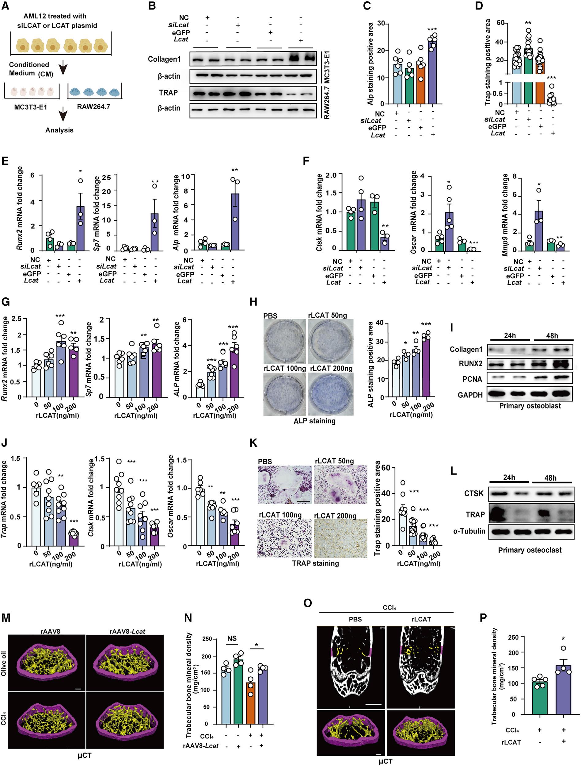
LCAT确保应适当的受损受损血细胞内胆固醇升高层次,以控制成骨受损受损血细胞和破骨受损受损血细胞的常见问题

Fig.6 LCAT能维持正常情况的机构细胞内甘油三酯技术水平,避免骨机构细胞代谢失常
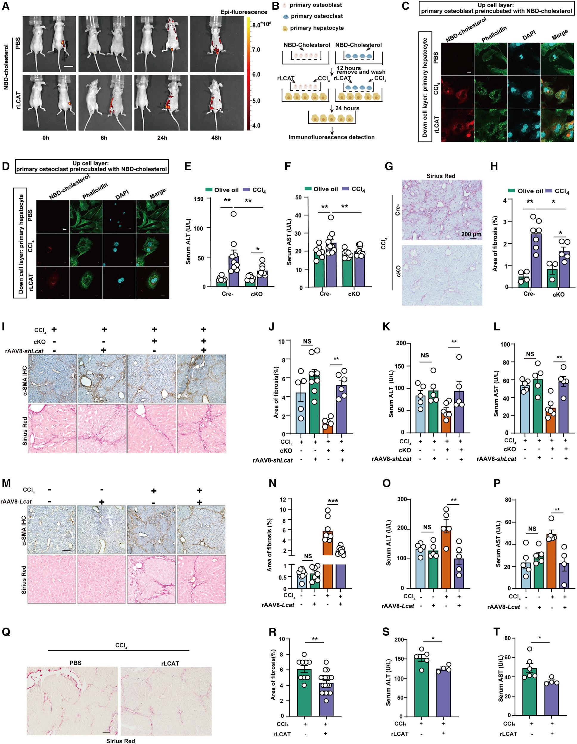
LCAT能够 带动蛋白质双向装卸搬运,有益于肝拉伤HOD恢复功能

Fig.7 LCAT使用推动双向低密度胆固醇集运,推动HOD的肝部完全恢复
总结ppt
脾脏PP2Acα或血清LCAT能力需要对于为也有用的生物制品图标物,以选择HOD的来源于、严重的阶段或最新动态;还脾脏PP2Acα或血清LCAT能力还需要对于这个控制靶点,以改善效果HOD最新动态中的肝损害和骨短缺。
● 银河集团官网
微生物还望展示 探究中适用的AAV8-Lcat及AAV8-shLcat的包装设计安全服务。